MRI
자기공명영상

MRI(자기공명영상)는
강력한 자기장과 고주파를 이용해 몸속의 수소 원자핵이 내는 신호를 영상으로 바꾸는 첨단 검사 장비입니다.
쉽게 말해, 방사선 노출 없이도 뇌와 척수를 포함한 신경계 질환을 진단할 수 있는 안전하고 정확한 검사 방법입니다.
본원의 MRI는
탁월한 영상 품질과 재현성으로 미세한 이상도 놓치지 않으며,
직경 71cm의 Open Bore 구조로 대형견도 편안하게 검사할 수 있습니다.
또한, 최신 16채널 플렉스 코일을 사용해 검사 시간을 줄이고, 더 선명한 고해상도 영상을 제공합니다.
MRI로 확인할 수 있는 질환
MRI는 특히 신경계 질환 진단에 강점을 가지고 있습니다.






뇌수막염

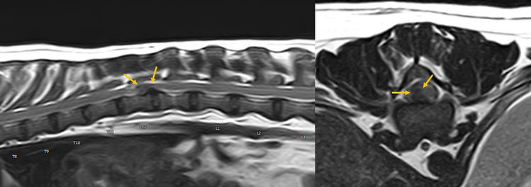
후두골이형성 및 척수공동증

디스크 탈출증
CT
전산화단층촬영

CT(전산화단층촬영)란
여러 각도에서 촬영한 방사선(X-ray) 영상을 컴퓨터로 재구성해, 몸 속을 단면으로 보여주는 첨단 검사 장비입니다.
본원의 CT는 단 몇 초만에 전신 촬영이 가능하며, 0.35초당 최대 128장의 영상을 획득합니다.
이에 따라 검사에 필요한 마취 시간이 매우 짧아 환자에게 부담이 적습니다.
또한 0.31mm의 공간분해능과 0.5mm의 얇은 절편 두께로, 타 장비 대비 20~25% 더 선명하고 정밀한 영상을 제공합니다.
여기에 저선량 기법을 적용하여 방사선 피폭량을 최대 75%까지 줄이고,
영상의 노이즈(화질 저하)를 최대 50%까지 감소시켜 보다 안전하고 정확한 진단 환경을 구현합니다.
CT로 확인할 수 있는 질환
CT는 일반 방사선 사진보다 훨씬 정밀하게 내부 구조를 확인할 수 있어,
종양, 염증, 혈관 질환, 뼈와 관절 문제까지 빠르고 정확하게 진단할 수 있습니다.
근골격계
- 
척추 및 척수: 환축추아탈구(AAI), 척추 탈구/아탈구, 척추 종양/척수 종양, 추간판척추염, 선천적 척추 기형, 추간판 평가
 - 
사지: 골종양, 퇴행성 관절 질환, 박리성 골연골증(OCD), 골수염, 범골염, 주관절 이형성, 고관절 이형성, 비대성 골병증, 골절
 - 
골절: 안면부, 두개골, 상악골, 하악골, 늑골, 골반, 척추, 사지 골절
 
두경부
- 
비강: 비염, 부비동염, 비강 종양, 비강 용종, 비강 이물
 - 
귀 (이도): 외이염, 중이염, 내이염, 이도 종양, 이도 용종
 - 
구강, 침샘 및 림프절: 치주 질환(치주염, 치은염), 구강 종양, 침샘종, 침샘염, 타석, 침샘 종양, 림프절 비대
 - 
인두, 후두 및 갑상선: 인두 및 후두 종양, 인두 및 후두 이물, 인두 용종, 갑상선 종양
 - 
뇌, 두개골 및 안구: 후두골이형성(COMS), 뇌수두증, 출혈성 뇌졸중(뇌출혈), 뇌내 종양, 두개골 종양, 두개골 골절, 안구 종양, 안와 골절
 
흉부
- 
심혈관계: 동맥관개존증(PDA), 우대동맥궁잔존증(PRAA), 심장 종양, 혈전/색전, 동맥류
 - 
호흡기계 (폐, 기관 및 기관지): 폐 종양, 폐 염전, 폐렴, 폐수종, 기관 허탈, 기관지 연화증, 기관지 확장증, 기관 협착, 기관 저형성, 기관 종양, 기관지염
 - 
종격동: 종격동 종양(흉선종, 림프종, 이소성 갑상선 종양), 거대식도증, 식도 게실, 종격동 기종, 종격동염
 - 
흉막 및 흉강: 유미흉(림프관조영술), 농흉, 혈흉, 흉막 종양, 늑골 종양, 늑골 골절, 식도열공탈장, 횡격막 탈장
 
복부
- 
간, 담낭 및 비장: 간 종양, 간염, 간 염전, 간 경색, 담낭 결석, 담도 결석, 담낭염, 담도염, 비장 종양, 비장 염전, 비장 경색
 - 
비뇨기계: 신장 결석, 만성 신장 질환, 신장 낭종, 요관 결석, 이소성 요관, 방광 결석, 방광염, 요도 결석
 - 
부신: 부신 종양, 부신피질기능항진증
 - 
위장관계 및 췌장: 위 내 이물, 장 내 이물, 위장관 천공, 위장관 종양, 췌장염, 췌장 종양, 췌장 가성낭종
 - 
생식기계: 잠복고환, 고환 종양, 전립선 종양, 전립선염, 전립선비대증, 잔존난소, 자궁 종양, 자궁축농증, 자궁점액증, 자궁수종, 자궁내막증식증, 난소 종양
 - 
혈관 및 림프절: 간문맥전신단락(PSS), 혈전/색전, 림프절 비대
 
피부
: 피부 종양, 피하 종양, 지방종, 흉벽 결손/흉벽 파열, 복벽 결손/복벽 파열
종양 진단
: 종양의 원발 파악, 종양 전이 평가 (폐 및 실질 장기), 주변 장기 및 혈관 침습성 여부 파악, 수술 가능 여부 파악 및 치료 계획 수립

골반골절 및 천장골탈구

폐종양

EHPSS (간문맥전신단락증)
MRI와 CT 검사의 경우, 촬영 시간동안 환자가 움직이지 않아야 하기 때문에 대부분 마취가 필요합니다.
본원은 영상전공 수의사의 풍부한 경험과 최적화된 세팅을 통해 마취 시간을 최소화하고 검사 과정의 안전성을 높이며, 보호자분들이 안심할 수 있는 환경을 제공합니다.
또한 마취 중 심박수(ECG), 호기말 이산화탄소 분압(EtCO2), 혈압, 그리고 호흡수 등 주요 활력 징후를 실시간으로
확인하면서, 혹시 모를 위험 신호가 나타나면 즉시 대응할 수 있도록 철저히 관리합니다.

초음파
Ultrasound / Echocardiography
초음파 검사는 신체에 무해한 고주파 음파를 이용해 내부 장기와 조직을 실시간으로 영상화하여 관찰하는 비침습적 진단 검사입니다.
복부초음파
Abdominal Ultrasound
복강 장기 (간, 담낭, 비장, 신장, 부신, 방광, 위장관, 췌장, 생식기계 등) 실질의 이상 소견과 혈관 이상을 평가할 수 있으며,
혈액 검사 및 방사선 검사만으로는 명확히 확인되지 않는 각종 질환에 대한 감별에 유리합니다.
또한, 초음파 유도 하에 안전하게 세침흡인검사 및 복수/흉수/심낭수 천자가 가능합니다.
본원에서는 환자의 안정을 최우선으로 하여, 숙련된 영상 전공 수의사가 조용하고 독립된 검사실에서 세심하게 검사를 진행합니다.



위종양
만성신장질환
방광염


장염
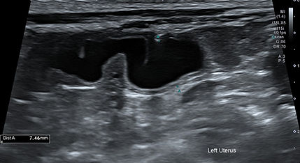
자궁수종
심장초음파
Echocardiography
심장초음파 검사는 선천적 및 후천적 심장 질환의 진단과 모니터링에 유용하며, 심장의 형태학적 및 기능적 평가가 가능합니다.
대표적인 질환으로는 다음과 같습니다.
· 선천적 심질환: 동맥관개존증, 폐동맥협착증, 심방·심실중격결손증 등
· 후천적 심질환: 점액종성 이첨판 질환, 비대성 심근증, 심장사상충 등
이러한 질환들은 정기적인 초음파 검사를 통해 약물 반응을 살피고, 향후 치료 방향을 세밀하게 조정할 수 있습니다.


